NOTA CLÍNICA:
MESOTELIOMA PERITONEAL MALIGNO
Maximiliano Baudino1, Nerea Muñoz3, Rocío Zambrano3, Cristina Gonzalez3, Lucía Polanco1, Romina Ferlini2, Felipe Reoyo3, Miguel Álvarez3.
1 Médico interno residente de Cirugía General y del aparato digestivo, HUBU.; 2 Médica interna residente de Cirugía Pediátrica, HUBU.; 3 Facultativo especialista de área de Cirugía General y del aparato digestivo, HUBU.
Correspondencia:
Baudino Maximiliano Ezequiel
mebaudino@saludcastillayleon.es
Tel: 600600850
Rev Acircal. 2025; 11 (1): 34-39.
Palabras clave: Síndrome de Peutz-Jeghers, Tumor neuroendócrino de páncreas, Neoplasia pancreática, predisposición a neoplasias, STK-11.
Descargar artículo en PDF
Introducción:
El síndrome de Peutz-Jeghers se debe a una mutación del gen supresor de tumores STK-11, de herencia autosómica dominante caracterizado por pigmentación mucocutánea y poliposis gastrointestinal(1). Predispone al desarrollo de neoplasias gastrointestinales, de mama y pacreáticas(2). Hacer el diagnóstico de esta rara condición permite iniciar el cribado de forma temprana para el diagnóstico y tratamiento precoz de las neoplasias (3).
El objetivo de este artículo es presentar el caso de una mujer de 23 años de edad diagnosticada de un tumor neuroendócrino de páncreas con antecedentes de Síndrome de Peutz-Jeghers.
Caso clínico:
Mujer de 23 años diagnosticada en la infancia de Peutz-Jeghers con estudio genético positivo para mutación del gen STK-11 y enfermedad de Graves-Basedow en seguimiento por servicio de digestivo con antecedentes de múltiples resecciones de pólipos hamartomatosos intestinales.
Acude a urgencias por un cuadro de dolor abdominal localizado en epigastrio de 30 dias de evolución, continuo, incapacitante, irradiado en hemicunturón y exacerbado en las últimas 48 horas. Relata también pérdida ponderal no cuantificada y marcada astenia acompañante. Niega otra sintomatología asociada.
A la exploración, presentaba abdomen blando y depresible, doloroso sobre epigastrio, sin defensa ni signos de irritacion peritoneal. No se palpaban masas ni megalias.
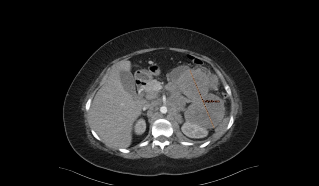
Se realiza analítica en urgencias que no mostraba datos de alarma y se solicitó ecografia abdominal que descartó patología abdominal aguda. Se decide completar estudio en urgencias con TAC que informa una tumoración sólida de 6,2x13cm en cola de páncreas que infiltra espacio perirrenal, en contacto con el bazo, arteria y vena esplénica con adenopatías retroperitoneales (Figura 1).

Figura 1. Corte transversal de TAC abdominal.
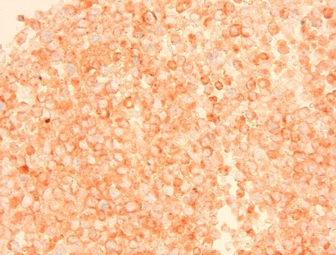
Se deriva paciente a servicio de diagnóstico rápido para completar estudio mediante PAAF-EUS y PAAF de adenopatías (Figura 2). Finalmente se diagnostica de tumor neuroendócrino de páncreas G3, estadío IV: cT3 (20mm, con invasión de grasa perirrenal), cN1 (peripancreáticas y retroperitoneales) y M1 (ganglionar supraclavicular, paraesofágica, retrocrural y ósea ilíaca derecha) por lo que inicia taratamiento por oncología.
Requirió de 3 líneas distintas de quimioterápicos citostáticos para enfermedad avanzada por mala tolerancia y desarrollo de complicaciones.
En el seguimiento se objetivó progresión de la enfermedad con deterioro clínico iniciando medidas paliativas. La paciente falleció 3 meses despúes de su diagnóstico.


Figura 2: Anatomía patológica: Tinción con H-E y Sinaptofisina.
Discusión:
Peutz-Jeghers es una enfermedad poco frecuente con una predisposición significativa al desarrollo de neoplasias malignas. Dentro de las pancreáticas, la literatura publicada, asocia éste síndrome a las neoplasias musinosas intraductales(4) y recominedan su cribado a partir de los 35 años por ser infrecuentes a edades más tempranas. La aparición de un tumor neuroendócrino de páncreas en pacientes con este síndrome, es extremadamente rara y hace que el caso presentado sea particularmente relevante.
Además, el desarrollo de esta neoplasia a una edad tan temprana refuerza la necesidad de una vigilancia oncológica rigurosa en estos pacientes(5)(6). El diagnóstico en el contexto de síndromes de predisposición tumoral es desafiante, y este caso destaca la necesidad de reconsiderar y, potencialmente, ampliar las estrategias de cribado para incluir tumores menos frecuentes pero agresivos. También, enfatiza la importancia de la investigación en marcadores genéticos y moleculares que puedan ayudar a predecir el desarrollo de estos tumores raros en pacientes con Peutz-Jeghers(7).
Conclusión:
El caso expuesto resalta la singularidad del tumor neuroendócrino de páncreas en una paciente jóven con síndrome de Peutz-Jeghers, una asociación poco descrita en la literatura. La edad temprana de aparición y la agresividad del tumor subrayan la necesidad de un seguimiento más exhaustivo y personalizado en estos pacientes. Es fundamental seguir investigando las bases genéticas y moleculares de estas neoplasias raras para mejorar las estrategias de cribado, detección precoz y tratamiento, con el objetivo de optimizar la supervivencia y calidad de vida de los pacientes con síndromes de predisposición a neoplasias.
Referencias:
- Latchford AR, Clark SK. Gastrointestinal aspects of Peutz-Jeghers syndrome. Best Pract Res Clin Gastroenterol. 2022 Jun-Aug;58-59:101789. doi: 10.1016/j.bpg.2022.101789. Epub 2022 Apr 6. PMID: 35988959.
- Hearle N, Schumacher V, Menko FH, Olschwang S, Boardman LA, Gille JJ, et al. Frequency and spectrum of cancers in the Peutz-Jeghers syndrome. Clin Cancer Res. 2006 May 15;12(10):3209-15. doi: 10.1158/1078-0432.CCR-06-0083. PMID: 16707622.
- Aslanian HR, Lee JH, Canto MI. AGA Clinical Practice Update on Pancreas Cancer Screening in High-Risk Individuals: Expert Review. Gastroenterology. 2020 Jul;159(1):358-362. doi: 10.1053/j.gastro.2020.03.088. Epub 2020 May 19. PMID: 32416142.
- Saba H, Goggins M. Familial Pancreatic Cancer. Gastroenterol Clin North Am. 2022 Sep;51(3):561-575. doi: 10.1016/j.gtc.2022.06.006. Epub 2022 Aug 29. PMID: 36153110; PMCID: PMC11095833.
- Yamamoto H, Sakamoto H, Kumagai H, Abe T, Ishiguro S, Uchida K, et al. Clinical Guidelines for Diagnosis and Management of Peutz-Jeghers Syndrome in Children and Adults. Digestion. 2023;104(5):335-347. doi: 10.1159/000529799. Epub 2023 Apr 13. PMID: 37054692.
- van Lier MG, Westerman AM, Wagner A, Looman CW, Wilson JH, de Rooij FW, et al. High cancer risk and increased mortality in patients with Peutz-Jeghers syndrome. Gut. 2011 Feb;60(2):141-7. doi: 10.1136/gut.2010.223750. PMID: 21205875.
- Entius MM, Keller JJ, Westerman AM, van Rees BP, van Velthuysen ML, de Goeij AF, et al. Molecular genetic alterations in hamartomatous polyps and carcinomas of patients with Peutz-Jeghers syndrome. J Clin Pathol. 2001 Feb;54(2):126-31. doi: 10.1136/jcp.54.2.126. PMID: 11215281; PMCID: PMC1731344.