NOTA CIENTÍFICA:
COLECISTITIS XANTO-GRANULOMATOSA. PRESENTACIÓN DE UN CASO.
Vicente Herrera Cabrera, Sergio Olivares, Ignacio Rodríguez.
Servicio de Cirugía General. Hospital Universitario Infanta Cristina. Parla (Madrid). España.
Correspondencia: para contactar con el autor accionar aquí (Vicente Herrera).
Rev Acircal. 2020; 7 (1): 51-58.
Palabras clave: Colecistitis xantogranulomatosa. Histiocitos espumosos. Carcinoma vesicular. Colelitiasis.
Descargar artículo en PDF
Introducción:
La colecistitis xantogranulomatosa (CX) es una variante rara, atípica y grave por las implicaciones que tiene en cuanto al tratamiento, dado que el diagnóstico diferencial habitual es con el cáncer vesicular (CV). Hasta en un 40 % de los casos se pueden plantear dudas diagnósticas intraoperatorias con esta neoplasia. Esta afección fue descrita por primera vez por Christensen e Ishak en 1970 y luego por McCoy en 1976 (1,2). Se trata de un tipo particular de inflamación que puede ser interpretada como un defecto en el proceso de degradación de las bacterias por los macrófagos, especialmente en presencia de colelitiasis e infección, dando como resultado la acumulación de lípidos y colesterol (3,4). Los gérmenes suelen ser aerobios como E. coli, Klebsiella, Proteus mirabilis y enterococos, en orden descendente de frecuencia. Desde el punto de vista macroscópico es característico que afecte la pared vesicular y órganos vecinos como el hígado, páncreas, duodeno y colon, incluso fistulizando en ellos, pero respetando la mucosa mientras no exista fístula. Se debe diferenciar la CX de la colecistitis crónica habitual por su carácter destructivo e invasivo.
En nuestro medio, ocurren con mayor frecuencia en mujeres alrededor de la 6ª y 7ª década y se diagnostican entre el 0.5 y el 2% de las colecistectomías. Los síntomas son los propios de una colecistitis aguda o crónica, suelen ser de larga evolución, asociados a pérdida de peso, anorexia e ictericia, los cuales plantean la sospecha de un proceso maligno.
Al examen microscópico se encuentra necrosis, fibrosis proliferativa secundaria, infiltrados de células inflamatorias agudas y crónicas y especialmente macrófagos lipídicos, los denominados histiocitos espumosos, en forma de nódulos amarillentos (5,6).
Este proceso inflamatorio no es exclusivo de la vesícula. Puede afectar a órganos diversos como riñón (7,8), apéndice (9), vejiga (10), próstata (11), endometrio (12) e incluso al hueso (13).
Caso clínico:
Paciente mujer de 71 años que ingresa en el servicio de Digestivo por colecistitis aguda. Como antecedentes patológicos destacan hipertensión arterial (HTA), enfermedad pulmonar obstructiva crónica (EPOC) y accidente cerebrovascular isquémico.
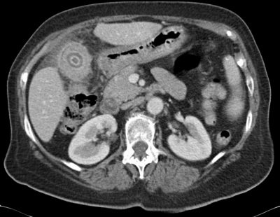
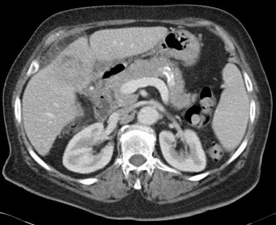
Los estudios por imagen evidenciaban colelitiasis y un proceso que afectaba a la mitad distal de la vesícula infiltrando localmente el lecho vesicular. Fue remitida para cirugía por sospecha de neoplasia. La tomografía axial computada y la resonancia nuclear magnética con colangioresonancia informaron: pérdida del plano de separación con el parénquima hepático y marcados cambios inflamatorios en la grasa adyacente, compatibles con colecistopatía crónica y con proceso inflamatorio agudo, pero sin poder descartar lesión neoplásica subyacente (ver Figuras 1 y 2).
Se efectuó laparoscopia exploradora para descartar carcinomatosis y valorar el aspecto de la lesión; debido al aspecto macróscopico de probable neoplasia, se convirtió a cirugía abierta. La disección fue muy laboriosa, separando con dificultad la vesícula del colon y del píloro. Seguidamente, se resecó una porción de los segmentos IVB-V de unos 2cm de espesor junto con linfadenectomia del grupo 12 (pedículo hepático). La evolución fue favorable, sin complicaciones, y se dio el alta el 5º día postoperatorio. El diagnóstico anatomopatológico definitivo fue de CX aguda y crónica.


Figura 1: TC abdominal con contraste (fase arterial). Se observa la vesícula de pared gruesa e irregular y con márgenes mal definidos con el parénquima hepático adyacente, que semeja infiltración.

Figura 2: RNM que muestra pared vesicular engrosada, cálculo voluminoso y afectación del lecho vesicular.
Discusión:
Los pacientes con CX son más frecuentemente mujeres entre 60 y 70 años, por lo general con comorbilidad asociada (destacando HTA, EPOC y dislipemia) y, en casi todos los casos, se asocia a colelitiasis de larga evolución.
A diferencia de la colecistitis crónica habitual, es un proceso con mayor tendencia infiltrativa y destructiva local. En la etiopatogenia se considera que la obstrucción y consecuente extravasación de bilis al intersticio sumadas a la infección, origina infiltrados de células inflamatorias, macrófagos lipídicos, incluso fibrosis tisular semejante a la reacción desmoplásica propia de algunos tumores epiteliales, dando como resultado el aspecto macroscópico similar al neoplásico.
Si bien es infrecuente, se trata de una patología que está en aumento. En nuestro medio, se han comunicado incidencias del 3 al 5% de las colecistectomías. En EEUU y Japón, esta cifra es de 1,2 y 1,8%, respectivamente (14). En la India, un estudio registró entre el 10 y el 13,2% (15).
Los hallazgos ecográficos incluyen el engrosamiento local o difuso de la pared o una masa heterogénea que remeda al cáncer. La tomografía axial computada evidencia captación patológica del contraste y el PET puede ser útil también en casos de alta sospecha (16).
Ante un caso como el que aquí presentamos, el dilema es si se trata de un proceso benigno o bien neoplásico, y que muy probablemente no se pueda confirmar antes del estudio anatomopatológico diferido. Actualmente, no se discute que, casi siempre, es preferible la colecistectomía antes que el tratamiento médico inicial en una colecistitis aguda, pero si se tratara de un cáncer no debería ser operada por un cirujano sin amplia experiencia en cirugía hepática ni en el medio de la cirugía de urgencias. Por otra parte, ante la sospecha de cáncer de vesícula, se debe asumir que la mayoría de los casos son irresecables o de pésimo pronóstico (17,18) y que la cirugía laparoscópica está contraindicada por mayor riesgo de derrame biliar, rotura vesicular, diseminación peritoneal y recidiva (19,20). En nuestro caso, se efectuó laparoscopia exploradora para descartar carcinomatosis y debido al aspecto visual de probable neoplasia, se convirtió a cirugía abierta. Ante la fuerte sospecha de cáncer y no poder certificar el diagnóstico histológico mediante biopsia intraoperatoria, se optó por la técnica descrita en el epígrafe anterior, la cual puede hacerse con escasa morbilidad si el cirujano tiene experiencia en cirugía hepática. En la decisión también se valoró la comorbilidad de esta paciente, clasificada como ASA IV, para evitar el potencial riesgo de tener que realizar otra probable intervención en caso de confirmarse la sospecha de neoplasia.
Conclusiones:
La CX es una patología infrecuente que suele afectar a pacientes con colelitiasis de largo tiempo de evolución. Al ocurrir en pacientes con mayor comorbilidad, también las complicaciones postoperatorias aumentan. Dado que no se puede excluir el diagnóstico de CV, cuando se sospeche un caso de CX, la vía de acceso quirúrgica debería ser abierta realizada, preferentemente, por cirujanos con experiencia en la patología hepatobiliar. La biopsia intraoperatoria no suele ser esclarecedora y la AP definitiva es la que permite certificar el diagnostico.
Declaraciones y conflicto de intereses: Los autores han revisado y dado su autorización para la publicación del este artículo en la Revista ACIRCAL. Asimismo, declaran no tener ningún conflicto de intereses, y que el trabajo no ha sido presentado en reunión y/o congreso alguno, y que no está siendo evaluado por otra publicación científica de forma simultánea.
Referencias bibliográficas:
- Christensen AH, Ishak KG. Benign tumors and pseudotumors of the gallbladder. Arch Pathol Lab Med 1970; 90: 423-32.
- McCoy JJ, Vila R, Petrossian G et al. Xanthogranulomatous cholecystitis: Report of two cases. J C S Med Assoc 1976; 72: 781-9.
- Yucel O, Uzun MA, Tilky M, Alkan S, Kilicoglu ZG, Goret CC. Xanthogranulomatous cholecystitis: Analysis of 108 Patients. Indian J Surg 2017; 79: 510-514.
- Guzman-Valdivia G. Xanthogranulomatous cholecystitis: 15 years´ experience. World J Surg 2004; 28: 254–257.
- Howard TJ, Bennion RS, Thompson JE Jr. Xanthogranulomatous cholecystitis: a chronic inflamatory pseudotumor of the gallbladder. Am Surg 1991; 57: 821-824.
- Suzuky H, Wada S, Araki K, Kubo N, Watanabe A, Tsukagoshi M, Kuwano H. Xanthogranulomatous cholecystitis: Difficulty in differentiating from galldbladder cancer. World Journal of Gastroenterology 2015; 21: 10166-10173
- Bronsoms JM, Vallés M, Mas H, Sant F y Llobet M. Pielonefritis xantogranulomatosa y amiloidosis sistémica. Nefrología 1995; XV: 371-374.
- Quinn FM, Dick AC, Corbally MT, McDermott MB, Guiney EJ. Xanthogranulomatous pyelonephritis in childhood; Arch Dis Child 1999; 81: 483-486.
- Tardío JC, Burgos F, Riupérez J. Inflamación xantogranulomatosa del apéndice. Patología 1996; 29: 135-137.
- Walther M, Glenn FJ, Vellios F. Xanthogranulomatous cistitis. J Urol 1985; 134: 745-746.
- Miekos E, Wlodarczyk W, Szram S. Xanthogranulomatous prostatitis. Int Urol Nephrol 1986; 18: 433-437.
- Russack B, Lammers RJ. Xanthogranulomatous endometritis. Reporto six cases and a proposed mechanism of development. Arch Pathol Lab Med 1990; 114: 929-932.
- Cozzuto D. Xanthogranulomatous osteomielitis. Arch Pathol Lab Med 1984; 108: 973-976.
- Takahashi K, Oka K, Hakozaki H, Kojima M. Ceroid-like histiocytic granuloma of gall bladder. Acta Pathol Jpn 1976; 26: 25-46.
- Shukla S, Krishnani N, Jain M, Pandey R, Gupta RK. Xanthogranulomatous cholecystitis. Fine needle aspiration cytology in 17 cases. Acta Cytol 1997;41: 413-418.
- Isamu M, Takahiro Y, Nariatsu S, et al. Xanthogranulomatous cholecystitis mimicking gallbladder carcinoma with a false – positive result on fulorodeoxyglucose PET. World J Gastroenterol 2009; 15 (29): 3691-93.
- Butte JM, Matsuo K, Gönen M, D’angélica, Waugh E, Allen PJ. Gallbladder cancer: differences in presentation, surgical treatment, and survival in patients treated at centers in three countries. J Am Coll Surg 2011; 212 (1): 50.
- Silva V, Arístides G, Ordenes V, Moya Edisson, Cassalino F. Colecistitis xantogranulomatosa. Rev. Chilena de Cirugía. 2004; 56(2): 178-181.
- Cruz J, Hidalgo La, Feliu J, Admella C, Muns R, Bas M, Suñol X. Adenocarcinoma de vesícula biliar: estadio tumoral, factores pronósticos histológicos y supervivencia. Cir Esp 2005; 77: 18-21.
- Koshenkov VP, Koru-Sengul T, Francheschi D, DiPasco PJ, Rodgers SE.Predictors of incidental gallbladder cancer in patients undergoing cholecystectomy for benign gallbladder disease. J Surg Oncol 2013; 107(2): 118.