NOTA CIENTÍFICA:
FISTULA TRAQUEAL COMO COMPLICACIÓN TARDÍA DE TIROIDECTOMÍA TOTAL.
Mª Antonia Vaquero, Mariana González, Daniel Sánchez, Javier Martínez-Alegre, Fátima Sánchez-Cabezudo, Antonio Picardo.
Servicio de Cirugía General. Hospital Universitario Infanta Sofía. San Sebastián de los Reyes. Madrid. España.
Correspondencia: para contactar con la autora accionar aquí (Mª Antonia Vaquero).
Rev Acircal. 2020; 7 (1): 38-50.
Palabras clave: Tiroidectomía. Fístula traqueal. Complicación tiroidectomía.
Descargar artículo en PDF
Introducción:
La cirugía tiroidea en equipos especializados ha alcanzado unos resultados muy seguros con una mortalidad que se aproxima al 0% y una tasa de complicaciones por debajo del 5%. Tiene como principales complicaciones la hipocalcemia transitoria y/o definitiva, la lesión uni o bilateral del nervio recurrente con las consecuentes disfonía y/o compromiso respiratorio y la hemorragia con el posible desarrollo de un hematoma asfíctico, pero también se puede producir como complicación infrecuente (<0.1%) la lesión traqueal con perforación inmediata o la rotura secundaria por necrosis con el desarrollo de una fistula traqueal como complicación tardía (1).
Queremos presentar un caso clínico de una fístula traqueal postoperatoria tardía como complicación infrecuente de una cirugía habitual, pero no exenta de potenciales complicaciones graves, como es la tiroidectomía.
Caso clínico:
Varón de 57 años, fumador de más de 40 cigarrillos/día (IPA>50) con antecedentes de hematoma subdural intervenido en el año 1999, que precisó ingreso prolongado en unidad de cuidados intensivos con intubación y traqueostomía. Presenta secuelas cognitivo-conductuales y hemiparesia izquierda residuales de dicho proceso.
Es remitido desde la consulta de Endocrinología a nuestra Unidad de Cirugía Endocrina para tratamiento quirúrgico por nódulo tiroideo izquierdo de 16 mm con estudio citológico de proliferación folicular, categoría IV de Bethesda, y bocio multinodular. En la exploración física cervical se observa cicatriz retráctil de traqueostomía previa y no se palpa nódulo tiroideo dominante.
Se realiza tiroidectomía total reglada, presentando como única incidencia discreta dificultad para realizar el colgajo superior por encontrarse firmemente adherida la tráquea a la cicatriz previa de traqueostomía, con monitorización discontinua de los nervios recurrentes, identificación y preservación de las paratiroides derechas y de la inferior izquierda. Se realiza maniobra de Valsalva, que realizamos de forma sistemática en la cirugía tiroidea, previa al cierre. Se aplica en el lecho de la tiroidectomía Hemopatch® (Baxter Healthcare Corporation), y no se deja drenaje. De forma habitual realizamos la cirugía tiroidea con ayuda de bisturí ultrasónico mediante las Tijeras HARMONIC FOCUS+® (Johnson & Johnson Medical Devices) y electrocauterio. Igualmente se emplea sistemáticamente un hemostático tópico en las tiroidectomías totales en nuestro centro, siendo el empleado los últimos años el Hemopatch® (Baxter Healthcare Corporation). El paciente es dado de alta a las 24h de la cirugía, asintomático.
Nueve días después de la cirugía el paciente acude al Servicio de Urgencias por presentar, desde 4 horas antes, “abultamiento” cervical, sin otros síntomas acompañantes; en la exploración física el paciente está eupneico, la herida quirúrgica (cervicotomía anterior) muestra un buen aspecto (según descripción del cirujano que la revisa), existe enfisema cervical generalizado y en cara anterior de tórax con discreto enfisema facial y posterior aparición de eritema regional. Con la tos y el Valsalva se aprecia aumento de tumoración bajo la cicatriz cervical por aire, que disminuye con la respiración normal (ver imagen 1).

Imagen 1: Tumoración bajo la incisión de cervicotomía anterior que aumenta con el Valsalva con posterior desarrollo del eritema que se aprecia.
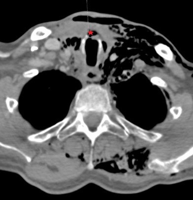
Se realiza tomografía computarizada (TC) cervical y de tórax superior con contraste intravenoso y adquisición de imágenes en fase venosa en inspiración y en Valsalva. En ella se aprecia enfisema de partes blandas que se distribuye disecando los espacios cervicales desde el espacio masticador izquierdo extendiéndose a la región submandibular bilateral, cervical posterior y al hemitórax y que también asocia componente de neumomediastino y de neumopericardio. Existe una imagen sugestiva de pequeña solución de continuidad (2-3 mm) en la cara anterior traqueal entre el cartílago cricoides y el primer anillo traqueal; que coincide con el trayecto de la traqueostomía previa (ver imagen 2). Todos estos hallazgos radiológicos son compatibles con pequeña fístula traqueal; aparte presenta cambios postquirúrgicos de tiroidectomía total y no se aprecian colecciones definidas.

Imagen 2: Solución de continuidad (2-3 mm) en la cara anterior traqueal entre el cartílago cricoides y el primer anillo traqueal (ver asterisco) con extenso enfisema subcutáneo y burbuja adyacente.
Se decide realizar revisión quirúrgica del paciente. Bajo anestesia local y sedación profunda, y con estrecha monitorización anestésica (en ningún momento hubo compromiso de las funciones ventilatoria ni respiratoria), se realiza apertura de la cervicotomía y de los músculos pretiroideos. Se observa fibrina y un orificio de unos 1,5 mm en la cara anterior de la tráquea, aproximadamente 1 cm caudal a la cicatriz cutánea de la traqueostomía previa, hallazgos similares a la descripción del TAC aunque existe una mínima diferencia en cuanto a la estimación del tamaño del defecto. Se realiza lavado y colocación de drenaje aspirativo tipo Blake en la celda tiroidea por contraincisión y cierre por planos.
Tras la cirugía se solicita valoración por parte del Servicio de Otorrinolaringología que realiza una fibrolaringoscopia, en la que se observa hipertrofia de la base de la lengua, laringe normal, cuerdas vocales simétricas y móviles, buen espacio glótico y se visualiza mucosa traqueal anterior en región subglótica y en primeros anillos de aspecto normal.
El paciente permanece en planta con tratamiento antibiótico (amoxicilina/clavulánico 1g/8h) durante 7 días y curas diarias, con buena evolución clínica. La elección, dosis y duración del tratamiento antibiótico fue controlada por parte de la Unidad de Infecciosas de nuestro centro, y guiada por la evolución clínica. Respecto al drenaje, inicialmente presentó fuga aérea escasa que desaparece al quinto día. Es dado de alta a los 9 días, con un drenaje tipo Penrose, (ver imagen 3), tras pérdida accidental del inicialmente colocado a los 7 días. Dicho drenaje se retira a los 14 días en consulta cuando pareció completamente seguro desde el punto de vista clínico al resolverse la flogosis y el enfisema, no presentar débito ni fuga aérea y tras ser valorado por ORL.
Discusión:
La tiroidectomía es la cirugía más común realizada en las Unidades de Cirugía Endocrina y presenta unas tasas de complicaciones muy bajas. La mortalidad para este procedimiento es cercana al 0%, y la tasa global de complicaciones es inferior al 3% (1). Las complicaciones mayores (2) incluyen hematoma asfíctico (0.5-1,5%), parálisis del nervio laríngeo recurrente transitoria (1–2%), parálisis del nervio laríngeo recurrente permanente (<1%), hipoparatiroidismo transitorio (1,6–50%) e hipoparatiroidismo permanente (0-13%) (1).

Imagen 3: Paciente con dren antes del alta hospitalaria. Se aprecia cómo ha sido sustituido por uno sin aspiración y por encima de la herida la herida retraída del orificio cutáneo de la traqueostomía antigua.
Nuestra unidad de cirugía endocrina funciona desde la apertura de nuestro centro en 2008 y ha reportado unos resultados de morbimortalidad equiparables a los estándares internacionales (4). La técnica quirúrgica habitual incluye la identificación rutinaria de los nervios recurrentes (con apoyo de la neuromonitorización intermitente), la identificación y preservación de las paratiroides, y una disección cuidadosa, utilizando el bisturí ultrasónico y ligaduras de material absorbible para el polo superior. Tras la revisión exhaustiva de la hemostasia, realizando siempre maniobra de Valsalva, se procede a la aplicación de hemostáticos tópicos, de forma sistemática en la tiroidectomía total. El empleo de drenajes es selectivo.
La perforación traqueal asociada a tiroidectomía es muy infrecuente (0,06%) (3) y puede reconocerse durante el procedimiento quirúrgico y ser reparada de forma inmediata (esta forma parece ser más frecuente); o de forma diferida, secundaria a necrosis traqueal o traumatismo inadvertido, hasta 2 semanas después de la operación (3). Por ser tan infrecuente la literatura disponible al respecto es escasa y basada fundamentalmente en reportes o series de casos. Igualmente, los detalles acerca de las reparaciones proceden en general de conclusiones extraídas del tratamiento de otros tipos de traumatismos más comunes (barotrauma, heridas, abiertas, etc.).
Los factores de riesgo asociados a lesión traqueal son el sexo femenino, el bocio tirotóxico, la intubación prolongada con balón de neumotaponamiento a alta presión (que puede reducir el aporte sanguíneo), la traqueomalacia, el uso prolongado de diatermia y la tos persistente en el postoperatorio (3, 5). En nuestro caso se cumplían los factores de riesgo de la tos persistente por ser el paciente un fumador importante y el uso de diatermia para realizar el despegamiento de la cicatriz previa de traqueostomía. Entre los mecanismos se describen la punción directa, la necrosis relacionada con el uso de la coagulación e incluso por cizallamiento en las maniobras de evisceración del cuello cuando el tiroides todavía está sujeto por el ligamento de Berry (6).
El diagnóstico intraoperatorio es visual (y puede ayudarse con test de fugas aéreas mediante sumersión en suero [6,7] y maniobras de Valsalva o insuflaciones a alta presión) y el de la de presentación postoperatoria es clínico; los pacientes pueden presentar enfisema subcutáneo, infección de la herida quirúrgica, hemoptisis, dolor retroesternal, disfonía y disnea con compromiso respiratorio (7). La fuga aérea a los tejidos circundantes puede evolucionar a enfisema subcutáneo, disnea severa, mediastinitis, absceso mediastínico, neumotórax, taponamiento cardíaco e incluso la muerte (8). La TC permite la confirmación diagnóstica, demostrar el defecto traqueal y su localización, además de descartar otras causas de enfisema subcutáneo por lo que es recomendable extenderla al tórax (5). La realización del TC con Valsalva en nuestro paciente permitió la confirmación de la sospecha de la lesión de la vía aérea y la localización de la lesión traqueal que nos permitió dirigir su abordaje, aunque existe una mínima diferencia en su localización entre el informe radiológico y los hallazgos quirúrgicos explicable por el posible trayecto oblicuo de la traqueostomía antigua. También es útil el estudio endoscópico (laringo y fibrobroncoscopias) de la vía aérea, aunque su normalidad no excluye el diagnóstico y que eventualmente puede permitir maniobras terapéuticas. No hay datos en la literatura que permitan determinar si el estudio endoscópico es obligatorio ni su momento óptimo de realización.
El tratamiento recomendado depende del momento en el que se identifica la lesión y del estado del paciente. La lesión traqueal identificada durante el acto quirúrgico y debida a lesión térmica o cortante, debe repararse de forma inmediata, con sutura reabsorbible o no reabsorbible empleando como es lógico bordes tisulares viables; puede usarse un colgajo muscular como refuerzo o también hemostáticos y/o sellantes tisulares sintéticos. En general debe colocarse drenaje y administrarse antibioterapia postoperatoria (3).
La lesión que se presenta en los días siguientes a la cirugía, suele ser debida a necrosis traqueal tras lesión térmica. El control de la vía aérea debe ser prioritario por lo que si existen signos de compromiso respiratorio el tratamiento no debe retrasarse y debe disponerse de la capacidad para hacer una traqueotomía, si es necesario si bien suele bastar con una intubación orotraqueal con colocación del manguito distal al sitio de la lesión y evitando las altas presiones en la vía aérea. Los pacientes sin síntomas ni signos de insuficiencia respiratoria y sin evidencia de infección pueden ser tratados de forma conservadora con reposo, antibióticos y control de la tos. En los demás casos en general se realizará abordaje quirúrgico que es muy variado, desde tratamientos conservadores como nuestro caso, hasta reparación primaria de la lesión traqueal con sutura (reabsorbible o no) con/sin refuerzo con colgajo muscular (9) o parches de fibrinógeno humano y trombina (TachoSil ®) (10,11). En caso de existir exudado de la herida puede ser útil tomar un cultivo que pueda guiar el tratamiento ulterior.
El tamaño del defecto traqueal puede condicionar también el tipo de cirugía y la urgencia del caso. También deben tenerse en cuenta el grado de necrosis y el de infección para la toma de decisiones. Los límites del tratamiento conservador no están claros y hay variabilidad en las publicaciones, que son series o reportes de casos, así Kaloud et al. (12) consideran que si el defecto es total y mayor de 1cm debe repararse pero Kuhne et al. (13) en cambio consideran que el tratamiento conservador es exitoso hasta los 2 cm. Si la lesión es muy grande o existe mucha necrosis y contaminación el cierre primario está contraindicado. En lesiones muy grandes se han realizado incluso resecciones y anastomosis pero cuando la contaminación es muy importante primero debe controlarse ésta antes de proceder con la reparación (desbridamientos, tutorizaciones, etc). Hay autores que asocian colgajos para reforzar y añadir tejido ricamente vascularizado a la reparación (aunque su utilidad no está demostrada por la escasa literatura) y suelen asociarse drenajes aspirativos con la misma limitación de las escasas publicaciones (11). También está descrito el tratamiento con endoprótesis con éxito de este tipo de lesiones (11).
Nuestro paciente, dada la ausencia de síntomas de insuficiencia respiratoria, fue tratado exitosamente con revisión de la herida quirúrgica, drenaje y tratamiento antibiótico intravenoso.
La revisión de la literatura reveló muy pocos casos similares descritos, tratados de diferentes maneras, por lo que se recomienda la estandarización de los tratamientos (11).
En cuanto a hipotetizar en relación al posible origen de la lesión, el único factor claramente diferencial que reconocemos fue la presencia de la cicatriz de la traqueostomía previa y el hecho objetivo de su adherencia firme a los tejidos peritraqueales. Entendemos que es posible que puedan haber participado otros factores identificados por la literatura como el uso de la diatermia, el empleo del bisturí armónico, la posible fragilidad de una tráquea ya intervenida, inclusive el manejo anestésico en una tráquea potencialmente frágil, etc. pero el único factor claramente diferencial respecto al resto de nuestra casuística fue la presencia de la cicatriz, no hubo otras incidencias en el resto de la cirugía.
Respecto al manejo del caso, no hay consenso en la literatura respecto de la cobertura antibiótica, pero parece lógico cubrir los gérmenes habituales de la flora cutánea y de la vía aérea superior, como se realizó en nuestro caso, y dirigir la duración según la respuesta clínica. En cuanto al drenaje a emplear, desde un punto de vista teórico podría discutirse si uno de tipo aspirativo podría aumentar el gradiente a favor de la fuga, pero no parece ser relevante en la literatura publicada aunque tampoco puedan extraerse conclusiones.
Para finalizar, como mensaje preventivo, pensamos que en este tipo de casos con factores de riesgo habría que extremar la precaución en la disección de la zona de la cicatriz previa y en general hay que limitar el uso de energía que pueda dispersarse alrededor de la tráquea, así como se hace alrededor de los nervios, siendo preferibles dispositivos bipolares y/o armónico. Las pruebas de estanqueidad pueden ser también útiles así como extremar la precaución de realizar las ligaduras vasculares muy cerca del tiroides para preservar al máximo la vascularización traqueal. El papel que puedan jugar dispositivos sellantes sintéticos es desconocido. En nuestro centro empleamos de forma sistemática el dispositivo HARMONIC FOCUS+® (Johnson & Johnson Medical Devices) que permite también disecar y con ello parece poder reducir discretamente el tiempo quirúrgico y la necesidad de ligaduras (14) y el dispositivo HEMOPATCH® (Baxter, combinación de colágeno con un derivado de polietilenglicol) que hasta nuestro conocimiento no ha sido empleado en fugas aéreas en otros campos aunque algunos datos experimentales apuntan positivamente en este sentido (15).
Conclusiones:
La fistula traqueal tardía tras la tiroidectomía es una complicación muy infrecuente, su diagnóstico requiere de una alta sospecha clínica, que precisa de confirmación radiológica (generalmente mediante TAC cervico-torácico) y cuyo tratamiento va a depender de la estabilidad respiratoria del paciente y de la presencia o ausencia de signos de infección. El tratamiento conservador, o quirúrgico de mínima agresión, es válido en casos seleccionados como el presentado.
En pacientes con factores de riesgo de lesión traqueal deben extremarse las precauciones durante la disección y exéresis del tiroides.
Declaraciones y conflicto de intereses: El manuscrito ha sido revisado por todos los autores y no existen conflictos de intereses con la industria ni con la Revista ACIRCAL. No ha sido presentado en ninguna reunión ni congreso y tampoco está siendo evaluado por otra publicación científica.
Referencias bibliográficas:
(1) Lombardi CP, Raffaelli M, De Crea C, Traini E, Oragano L, Sollazzi L, et al. Complications in thyroid surgery. Minerva Chir. 2007; 62 (5): 395–408.
(2) Sancho JJ, Sitges-Serra A. Técnicas y complicaciones de la tiroidectomía y paratiroidectomIa. En Parrilla P, Landa JI. Cirugía AEC. Manual de la Asociación Española de Cirujanos. 2ª edición. España: Editorial Médica Panamericana; 2010. 867-872
(3) Golger A, Rice LL, Jackson BS, Young JE. Tracheal necrosis after thyroidectomy. Can J Surg. 2002; 45: 463–4
(4) M.A. Vaquero Pérez, F. Sánchez-Cabezudo Noguera, R. Martín Sánchez, A. Picardo Nieto, J. Torres Jiménez, C. Alameda Hernando y J.A. Balsa Barro. Morbilidad y estancia hospitalaria tras cirugía tiroidea en una unidad de cirugía endocrina. Cir Esp. 2014; 92 (XXX Congreso Nacional de Cirugía, AEC): 286.
(5) Mazeh H, Suwanabol PA, Schneider DF, Sippel RS. Late manifestation of tracheal rupture after thyroidectomy: Case report and literature review. Endocr Pract. 2012; 18: 73–6.
(6) Gosnell J.E., Campbell P., Sidhu S., Sywak M., Reeve T.S., and Delbridge L.W.: Inadvertent tracheal perforation during thyroidectomy. Br J Surg 2006; 93: 55-56
(7) Damrose EJ, Damrose JF. Delayed tracheal rupture following thyroidectomy. Auris Nasus Larynx. 2009; 36: 113–5.
(8) Chauhan A, Ganguly M, Saidha N, Gulia P. Tracheal necrosis with surgical emphysema following thyroidectomy. J Postgrad Med 2009; 55: 193-5.
(9) Sanna S, Monteverde M, Taurchini M, Mengozzi M, Genestreti G, Grossi W, et al. It could suddenly happen: delayed ruptura of the trachea after total thyroidectomy. A case report. G Chir. 2014; 35: 65–8.
(10) Rosato L, Ginardi A, Mondini G, Sandri A, Oliaro A, Filosso PL. Efficacy of fleece-bound sealing system (Tachosil ®) in delayed anterior tracheal lacerations secondary to ischemic tracheal necrosis after total thyroidectomy. Minerva Chir. 2012; 67: 271–5.
(11) Tartaglia N, Ladarola R, Di Lascia A, Cianci P, Fersini A, Ambrosi A. What is the treatment of tracheal lesions associated with traditional thyroidectomy? Case report and systematic review. World Journal Emergency Surgery 2018; 13: 15.
(12) Kaloud H, Smolle-Juettner FM, Prause G, List WF. Iatrogenic ruptures of the tracheobronchial tree. Chest. 1997; 112: 774–778.
(13) Kuhne CA, Kaiser GM, Flohe S, Beiderlinden M, Kuehl H, Stavrou GA, Waydhas C, Lendemanns S, Paffrath T, Nast-Kolb D. Non operative management of tracheobronchial injuries in severely injured patients. Surg Today. 2005; 35: 518–523.
(14) Moreno P, Francos JM, García-Barrasa A, Fernández-Alsina E, de Lama E, Martínez R, Carral M, Martín-Lobato J. Efficacy and budget impact of the Focus harmonic scalpel compared to the ACS-14C device in total thyroidectomy due to multinodular goitre. A prospective randomised study. Cir Esp. 2013 Dec; 91 (10):664-71.
(15) Lewis KM, Spazierer D, Slezak P, Baumgartner B, Regenbogen J, Gulle H. Swelling, sealing, and hemostatic ability of a novel biomaterial: A polyethylene glycol-coated collagen pad. J Biomater Appl. 2014 Nov; 29 (5): 780-8.